Digital Dentistry
Part 1: “The future of Dentistry is Digital” Thanks to advancements in digital dental technology,
We provide a complete range of dental services in a safe and modern environment.
From patient records to diagnostics and treatment planning we use modern digital technology to address your treatment needs.
We have specialist dentists to help treat you in the best way possible.
At Shaheed Dental we take care of all your dental needs in the best possible manner.
We pride ourselves with flexible payment options and affordable treatment charges.


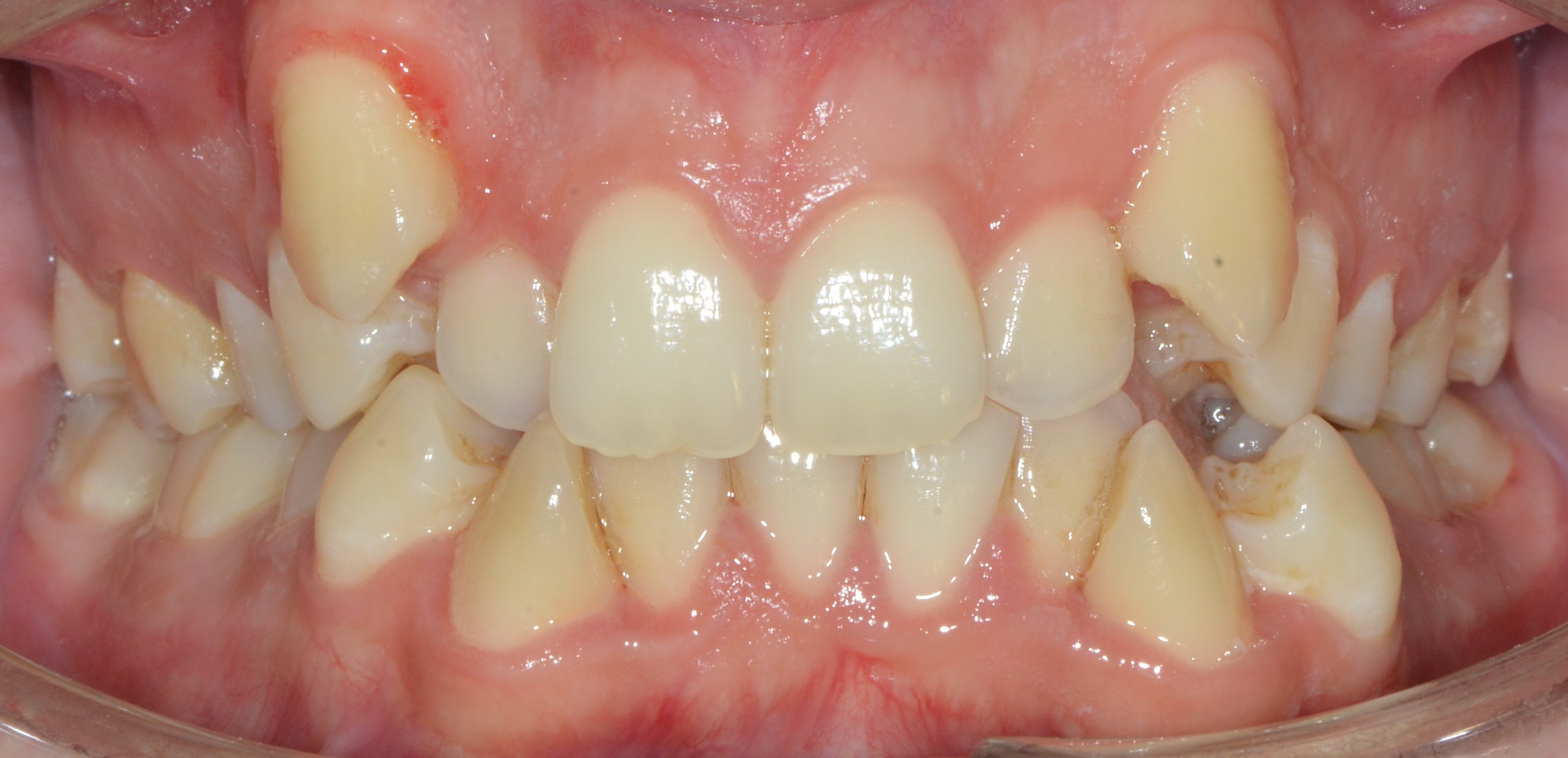
Are you worried about your teeth being yellow even after brushing Or do you feel like you have 'dirty' teeth? We help take care of that.

You have yellow teeth as a result of consumption of coffee, tea or from
smoking and other tobacco use. Don't fret, we will take care of that.

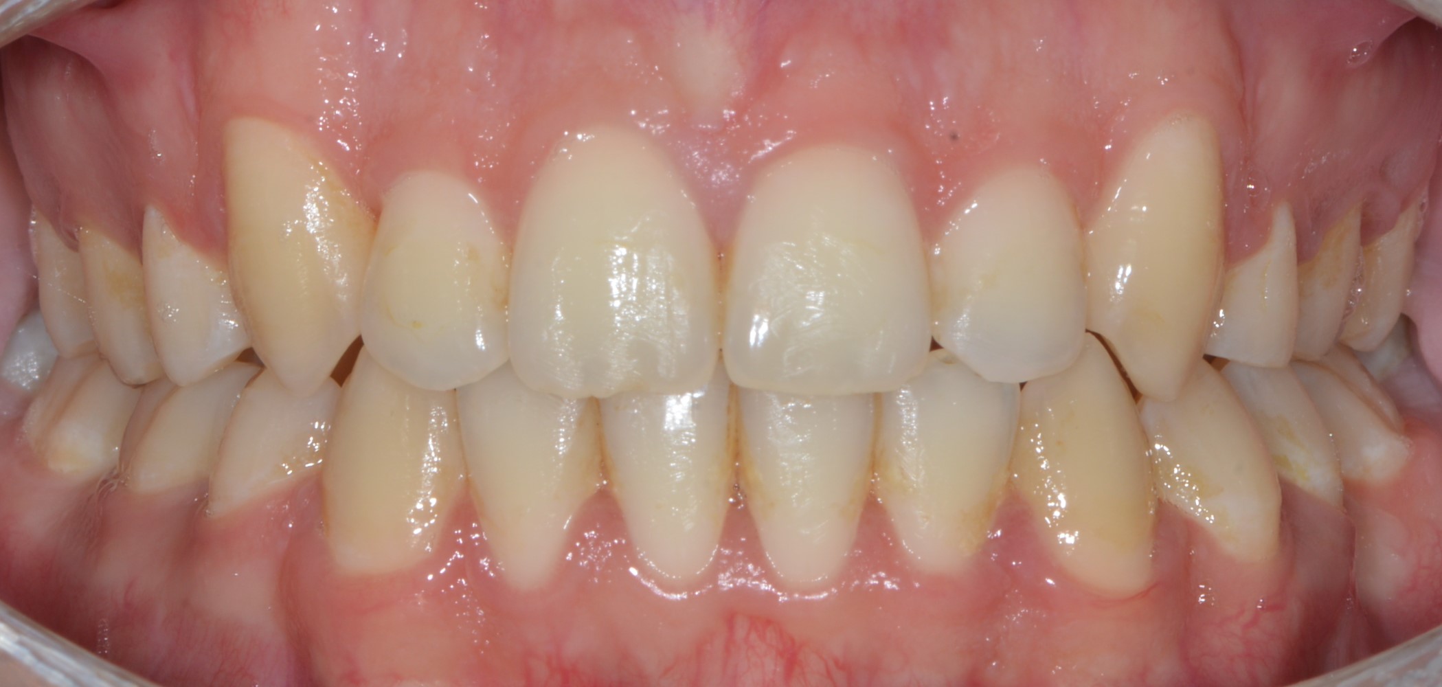
We offer a single solution to all your problems such as missing teeth, uncomfortable dentures or bridges and irregular teeth.

We make your dream of a healthy, perfect smile true. The most reliable and trusted way to go for is METAL BRACES!

Cosmetic dentistry (also known as “esthetic” dentistry) is primarily focused on the appearance of the teeth, gums and related facial soft tissues.

Root canal treatment is a procedure where the cleaning of the tooth structure is extended deeper into what is known as the pulp chamber, and into the roots of the teeth.

The only AAO international member in KPK. (Look us up on www.aaoinfo.org)

Multinational NGO
"Got our braces done by Dr Sohrab. Amazing results, without others even noticing the invisible braces. Forever grateful."

Students
"I’ve been visiting Shaheed Dental for more than two decades. Perfect stop for all my family’s dental needs."
PDA
"Dr Irum is a such a professional dentist. I got my teeth cleaned and filled and she guided me at every step of the way. Thank you Dr Irum and Shaheed Dental."

Architect
"Some of the most experienced and skilled dental professionals in the city of Peshawar."
Businessman
"Hands down the most versatile braces destination in the province. Thank you for the amazing smile make over Dr Sohrab!"

Student
Part 1: “The future of Dentistry is Digital” Thanks to advancements in digital dental technology,
Do you ever experience bleeding from your gums when you brush your teeth or spit?
Ever heard the saying smile is always in fashion but what if your smile is
Have you ever deleted or untagged yourself from a photo on social media just because
WhatsApp Us
"Thoroughly professional and experienced dentist team. Got my implants and restorations done beautifully. Kudos"